📷جوانی مغز: عضله بیشتر، چربی شکمی کمتر
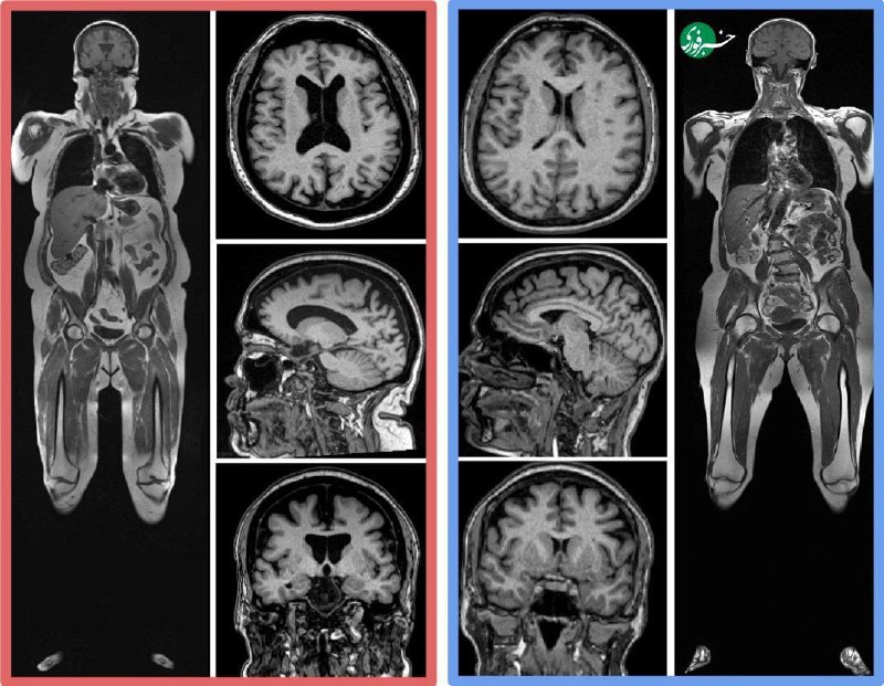
🔹سیروس راجی، دانشیار رادیولوژی Ùˆ مغز Ùˆ اعصاب دانشگاه واشنگتن، در مطالعه‌ای جدید اعلام کرد: بدن‌های سالم‌تر با توده عضلانی بالاتر Ùˆ چربی Ø§ØØ´Ø§ÛŒÛŒ (Ø´Ú©Ù…ÛŒ پنهان) کمتر، مغزهای جوان‌تر Ùˆ سالم‌تری دارند.
🔹چربی زیرپوستی (زیر پوست) هیچ ارتباط معناداری با مغز سالم ندارند.
🔹بنابراین، عضلات Ùˆ کاهش چربی Ø§ØØ´Ø§ÛŒÛŒØŒ بهترین راه برای کند کردن پیری مغز Ùˆ کاهش خطر بیماری‌هایی مانند آلزایمر است.
@Akhbarmashhad
